건강상식

부러진 뼈, 접착제로 '단 3분' 만에 붙인다… 中 연구팀이 자랑한 신기술

해암도 2025. 9. 16. 10:25

 

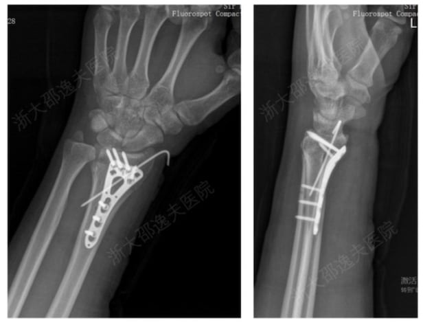
접착제 치료로 손목 골절을 치료한 모습./CCTV 캡처
 

중국 연구진이 부러진 뼛조각을 단 3분 만에 이어 붙일 수 있는 의료용 접착제를 개발했다.

 

16일 중국 관영 CCTV, 신화통신 등에 따르면 저장대학교 의과대학 샤오이푸 병원 연구팀은 독자 개발한 뼈 접착제 ‘본-02(Bone-02)’가 임상 연구 단계에 들어갔다고 지난 9일 밝혔다.

 

본-02는 인체 혈액 속에서도 즉각적이고 강력한 접착 효과를 발휘한다. 연구팀은 다기관 무작위 대조 임상시험에 성공적으로 등록했으며, 150명 이상의 환자를 대상으로 우수한 안전성과 효능을 입증했다고 덧붙였다.

 

연구를 주도한 저장대학교 런런쇼 병원의 정형외과 전문의 판슌우 교수에 따르면 기존 골절 치료는 금속 고정법을 사용해왔다.

 

판 교수는 “기존 골절 치료 방식은 금속으로 뼈를 고정해야 하는데 작은 뼛조각을 정확히 맞추기 어렵고 시간이 많이 걸렸다”며 “그 과정에서 뼛조각이 소실돼 골량이 줄고 결국 환자 삶의 질에도 악영향을 끼쳤다”고 설명했다.

 

이에 과학자들은 수년간 골 접착 소재 연구를 이어왔지만 생물학적 안전성과 액체 환경에서의 접착력이라는 두 가지 핵심 기술적 난제를 극복하지 못했다.

기존 금속 고정으로 손목 골절을 치료한 모습./CCTV 캡처
 

판 교수는 2016년부터 ‘굴’에서 아이디어를 얻어 연구를 시작했다. 해양에서 물속 다리에 단단히 매달려 있는 굴의 성질에 착안해 인체 내부의 습윤 환경에서도 작용하는 접착제를 구현했다는 것이다.

 

연구팀은 수십 차례 제형을 바꾸고 수백 회 실험을 반복했으며 쥐·토끼·개 등 다양한 동물 실험을 거쳐 생체 독성, 혈액 환경 내 접착력, 수술 편의성 등 난제를 하나씩 풀어냈다.

 

실험 결과 본-02는 최대 180㎏ 이상을 버틸 만큼의 접착 인장력을 보여 금속 고정 장치를 대체할 가능성을 입증했다.

 

특히 혈액이 많은 수술 부위에서도 단 2~3분 만에 뼛조각을 정밀하게 고정할 수 있는 것으로 확인됐다. 생분해성 소재로 약 6개월 후 뼈가 치유되면서 자연스럽게 흡수되며, 기존 치료에서 필요했던 2차 수술이 불필요하다.

 

연구팀은 본-02를 활용할 경우 금속 이물질 반응 및 감염 위험을 줄이고, 수술 시간을 단축하며, 수술 중 손상을 줄일 수 있다고 전망했다.

 

실제로 손목 분쇄 골절로 본-02 치료를 받은 한 환자는 불과 2~3㎝의 절개를 통해 주입한 접착제로 단 3분 만에 부러진 뼈를 고정할 수 있었다. 기존 치료법으로는 큰 절개를 통해 철판과 나사를 삽입한 뒤 1년 뒤 제거 수술을 다시 받아야 했던 상황이다. 3개월 추적 관찰 결과 이 환자의 골절은 합병증 없이 잘 치유됐으며 손목 기능도 완전히 회복됐다.

 

연구에 참여한 린셴펑은 “이 소재가 모든 크기와 신체 부위의 골절, 특히 기존 도구로는 고정하기 어려운 작은 뼈 조각의 치료에도 적합하다”며 “빠른 접착력과 사용 편의성 덕분에 전쟁이나 재난 구호와 같은 특수 상황에서 응급 골절 치료에 사용될 것으로 기대된다”고 말했다.