건강상식

골프·요가 즐겼는데...문고리 돌리기도 힘들면 손목 ‘이 증상’

해암도 2023. 10. 19. 05:26

최근 젊은 층을 중심으로 테니스, 요가, 필라테스, 탁구, 골프 등의 운동을 즐기는 사람들이 늘면서 손목 통증으로 병원을 찾는 이들이 늘었다. 이들 대다수가 손목 연골이 닳아서 생기는 ‘척골충돌 증후군’으로 진단되는 경우가 많다.

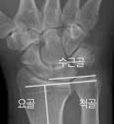
손목에서 새끼 손가락 쪽의 척골의 길이가 요골보다 긴 경우, 척골과 수근골(손바닥뼈) 사이에 충돌이 일어나 연골이 닳고 통증이 생기는 현상이 '척골충돌 증후군'이다. /중앙대병원
 

척골충돌 증후군은 팔뚝을 구성하는 두 뼈 중 하나인 새끼 손가락 쪽에 위치한 척골이 안쪽의 요골에 비해 긴 경우 잘 발생한다. 손목을 쓰는 동작이 반복되면, 튀어나온 척골과 손바닥 뼈가 충돌하면서 그 사이의 삼각 섬유연골이 닳아서 통증이 생긴다.

이재성 중앙대병원 정형외과 교수는 “최근 스포츠 활동 하다가 특별한 외상 없이 손목 통증을 호소하며 병원을 찾는 젊은이들이 많은데, 이들의 50% 이상이 ‘척골충돌 증후군’으로 진단되고 있다”고 말했다.

‘척골충돌 증후군’이 생기면 문 고리를 돌리거나, 걸레를 짜거나, 팔굽혀펴기나 타이핑 등을 할 때 손목 통증이 생긴다. 손목을 새끼 손가락 방향 척골 쪽으로 꺾은 상태에서 통증이 생기거나 새끼손가락 쪽 손목뼈 사이 오목한 부위를 눌렀을 때 통증을 느낀다면 척골충돌 증후군으로 의심할 수 있다.

 
 
 

이재성 교수는 “테니스, 요가 등의 운동을 하면서 손목 통증을 대수롭지 않게 여기다 병이 악화되어 병원을 뒤늦게 찾는 경우가 빈번하다”며 “초기에 진단되면 약물, 주사 치료와 물리 재활 요법으로 치료될 수 있으나 진행된 상태라면 수술로 치료해야 한다”고 말했다. “예방을 위해서는 손목 척측의 부하를 줄이고, 특히 손목이 척측으로 꺾인 상태에서 회전 운동을 피해야 하며 팔꿈치와 손목 사이의 근육 전완부 근력 운동을 꾸준히 해야 한다”고 이 교수는 덧붙였다.